Terminology

The definition of inflammation, repair, and regeneration can vary widely by source, but for the purposes of this lab:

  • Injury: anything that disturbs homeostasis.  At the extreme, it can cause cell death (via necrosis or apoptosis).  Injury can be caused by things like infections, ischemia/infarctions, physical trauma, and even autoimmune disease.  Injury due to infection is covered in  A&D Path Lab 2, autoimmune disease in A&D Path Lab 3.  Anything more than minimal injury induces inflammation.
  • Inflammation: a process which effects all of the components of rubor, calor, dolor, and tumor (e.g., edema,  leukocytes, granulation tissue, active fibrosis).  Inflammation first deals with infection (if present), then leads to 1 of 2 outcomes:
    1. Regeneration: complete restoration of tissue architecture indistinguishable from that found before injury
    2. Repair: the patching of injured tissue with scar
      • Scar: mature collagen that is the end state of the repair process

There are three categories of inflammation:

  1. Acute: The initial inflammatory response that includes edema and first responder leukocytes, usually neutrophils, sometimes T-cells in the case of viral infection
  2. Resolving: The second step, the reparative inflammatory response that includes macrophages and fibroblasts
  3. Chronic: Described below, an ongoing inflammatory response that does not lead to repair

Regeneration

Under optimal circumstances, after an injury occurs, the body regenerates any damaged tissue:

This outcome, however, is dependent upon several things:

 

1) The injury hasn't destroyed regenerative stem cells or undermined the tissue architecture to such an extent that regeneration isn't possible

 

2) The injured tissue has sufficient regenerative capacity:

  • Liver has tremendous regenerative capacity, whereas heart and brain don't
  • Older tissue has less regenerative capacity than younger tissue as it approaches the Hayflick limit
  • Repeated (or chronic) injury can also exhaust the Hayflick limit

 

3) The degree of inflammation isn't so great that it itself leads to extensive tissue injury (see below)

Examples of this process that you may have experienced are things like sunburn, blisters, or minor lacerations

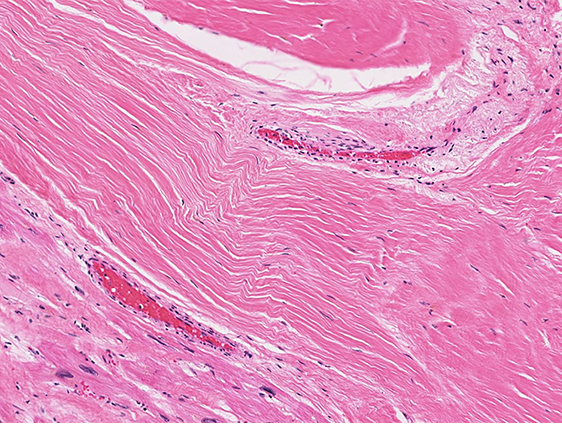
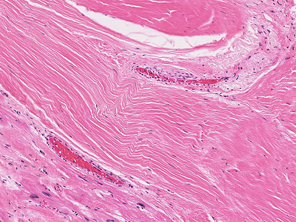
Repair

If the body is unable to regenerate after an injury, repair leads to scarring

Scarring occurs in cases where injuries are severe (disrupting stem cells and/or tissue architecture), or the regenerative capacity of the damaged organ is low

Examples of this process include things like deep lacerations (that leave a scar!), infarcts, and cirrhosis (fibrosis of the liver due to longstanding injury)

What is the difference between "fibrin" and "fibrosis" ? How about the difference between "granuloma" and "granulation tissue" ?

Exceptions:

Scarring without obvious inflammation:

In hypertensive cardiomyopathy, for example, the metabolic demands of hypertrophic cardiomyocytes outstrip their blood supply leading to apoptosis and replacement with scar without inflammatory cell infiltration

Repair without mature (collagenized) scarring:

Following injury in the brain (e.g., cerebral infarction), glial cells can fill damaged areas without a collagenized scar.  This process is called "gliosis" or "glial scarring".

Chronic Inflammation

In certain circumstances, neither of the two aforementioned outcomes (regeneration or repair) can be achieved, leading to a chronic cycle of injury and inflammation without repair

Chronic injury-repair occurs in several circumstances:

 

1) When the injury is ongoing and the repair process cannot heal the injury

Examples of this include things like an embedded splinter, a gastric ulcer, or a chronic infection like T.B.

2) When the injury is caused by the bodies own (auto) inflammatory process. (the focus of A&D Path Lab 3)

This is a hallmark of many autoimmune diseases (e.g., rheumatic fever, Hashimoto thyroiditis, and many others)

In either case, inflammation can exacerbate injury by both directly attacking tissue (like epithelium) preventing repair, or through the generation of reactive oxygen species (ROS) that further damage tissue.

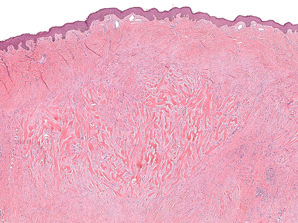
What types of inflammatory cells point to a chronic inflammatory condition rather than normal repair? How do you interpret the images below?

Altered Inflammation & Repair

Alterations in inflammation & repair can impact the degree to which damaged tissue is patched by scar

Insufficient Repair:

Repair can be inhibited when the cells or materials needed for producing a mature scar are insufficient

Examples of this include immunodeficiency, ischemia (e.g., diabetic foot), and nutrient deficiencies (e.g., vitamin C)

Exuberant Inflammation:

Sometimes injury leads to an intense upregulation of the inflammatory process which can, in turn, lead to further injury.

Examples of this include cytokine storm, anaphylaxis, disseminated intravascular coagulation

Constitutively Active Repair:

Sometimes the signals that cause repair to progress to mature scar become stuck in the "on" position

Examples of this include excessive granulation tissue ("proud flesh"), keloid scars, and idiopathic pulmonary fibrosis

Do the following image represent up- or downregulated repair?

Sensor ➔ Mediator ➔ Response Model of Repair

As with the response to cell injury, the repair of tissue injury proceeds through a sensor, mediator, response pathway

  • Sensor: receptors for Damage and Pathogen Associated Molecular Patterns (DAMPs & PAMPs)
  • Mediator: a variety of cytokines and inflammatory cells
  • Response: a step-wise process of repair leading to regeneration or scarring

The Inflammation Highway

Repair progresses through a step-wise series of processes that can be represented as a highway with various

"detours", "off ramps" and "traffic loops" representing the concepts above